牙槽骨长什么样子图片
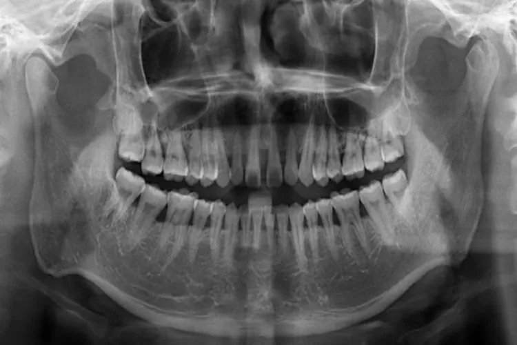
的有关信息介绍如下:概述牙槽骨是上下颌骨包围和支持牙根的部分,由牙根支撑呈凹槽状。骨质较疏松,且富于弹性,是支持牙的重要组织。形态牙槽骨是上下颌骨包围和支持牙根的部分,又称牙槽突,呈凹槽状。牙槽骨由固有牙槽骨和支持骨组成,X线片上,固有牙槽骨显示为环绕牙根的白色阻射线。容纳牙根的窝称牙槽窝,在冠方的牙槽窝的游离端称牙槽嵴。牙槽嵴的形态在前牙区为圆柱状,磨牙区为扁平状,而在颊舌侧变薄甚至消失。


生物特征牙槽骨是高度可塑性组织,也是全身骨骼中变化最活跃的部分,它的变化与牙的发育和萌出、乳牙替换、恒牙移动和咀嚼功能等均有关系。生理状态下,牙因(牙合)面及邻接面的磨耗而不断发生生理性的移位,牙槽骨也随之产生吸收和增生的改建。在牙萌出和移动的过程中,受压力侧的牙槽骨骨质发生吸收,而牵张侧的牙槽骨骨质增生。临床上进行错(牙合)畸形矫治的生物学基础也是利用牙槽骨的高度可塑性,利用一定的力学刺激促进牙的移动。



