牙周炎图片
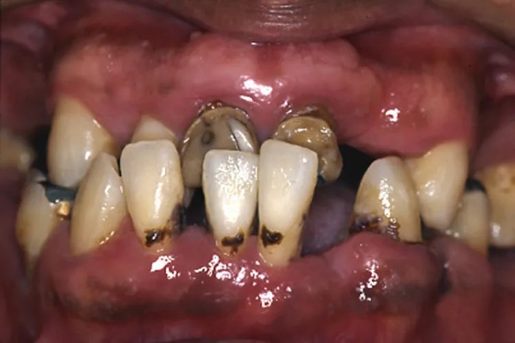
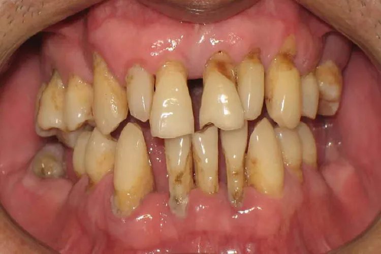
的有关信息介绍如下:概述牙周炎多表现为牙龈红肿,刷牙时易出血,严重时形成牙周袋,甚至牙齿出现松动移位。牙周炎可能与牙菌斑、牙石、食物嵌塞、解剖因素、口腔不良习惯等原因有关。症状牙周炎分类尚不成熟,主要包括慢性牙周炎、侵袭性牙周炎和伴有全身疾病的牙周炎。各种牙周炎的临床表现相似,常见症状有牙龈红肿、刷牙时易出血、牙龈退缩、口腔异味、咬合不适或疼痛、牙松动等。牙周炎严重时可导致牙周组织破坏,形成牙周袋,造成附着丧失和牙槽骨吸收。晚期当牙周组织破坏到一定程度,牙发生松动移位甚至脱落。其间可因牙周膜炎症出现咬合无力、不适或疼痛。常出现一系列伴发病变,如牙龈退缩、牙根暴露、根分叉病变、食物嵌塞、牙根面敏感、根面龋、牙周脓肿、逆行性牙髓炎等。



病因牙菌斑是牙周炎的始动因素,牙石、食物嵌塞、局部创伤、解剖因素、口腔不良习惯、医源性因素是牙周炎的促进因素;且不良的生活方式与环境、不健康的机体状态、个体遗传特征是牙周炎的危险因素。预防与治疗牙周炎是多因素疾病,预防需要考虑菌斑、咬合创伤、宿主反应、环境和遗传等综合因素。虽然并非所有牙龈炎都会发展成为牙周炎,但是消除牙龈的炎症仍然是预防牙周炎最根本且行之有效的手段。对于全身系统性疾病引起的牙周炎,除了必须每天彻底清除菌斑和牙石外,还必须积极治疗全身系统性疾病,必要时可应用抗菌漱口剂,如氯己定溶液每天含漱1分钟,可有效抑制菌斑形成。



